선치과병원 치주과 양건일 전문의
[충청뉴스 이성현 기자] 나이가 들어가며 우리의 몸도 노화가 진행된다. 치아 또한 마모나 상실로 인해 임플란트 치료를 받는 분들이 많다. 임플란트가 좋은 치료라는 것은 분명하지만 임플란트 실패로 인한 문제점도 증가하고 있다. 이러한 문제가 발생하는 원인은 무엇이고, 또 탈 없이 오랫동안 임플란트를 잘 사용하는 방법에 대해서 알아보자.
임플란트를 제거해야하는 경우는 크게 두 가지로 나뉠 수 있는데. 첫번째는 임플란트 구조물이 깨지는 경우이고 두번째는 임플란트가 흔들리는 경우다.
■ 임플란트 파절
임플란트 구조물이 깨지는 것으로, 큰 힘을 지속적으로 받고 이를 충분히 버텨내지 못하는 경우에 발생한다. 특히 수평방향으로 가해지는 힘에 약하기 때문에 단단하고 질긴 음식을 즐겨 먹거나, 이갈이 등에 의해 발생할 수 있다. 하지만 꼭 이런 경우가 아니더라도 직경이 너무 얇은 임플란트를 심거나, 식립 위치나 각도가 적절하지 않은 경우에는 임플란트 파절이 보다 쉽게 발생할 수 있다.
어금니에는 직경이 굵고 적절한 길이의 임플란트를 힘이 가해지는 각도를 고려해서 심어야 한다. 또는 해부학적 구조물로 인하여 길이에 제한이 있는 경우에는 보다 직경이 굵은 임플란트를 사용한다거나, 다수의 임플란트를 연결해서 임플란트 보철물을 제작하는 등 임플란트의 파절을 최소화 하도록 노력해야 한다.
■ 임플란트 주위염
임플란트 주변의 플라그가 염증을 일으켜 잇몸뼈가 녹아버리는 것을 말한다. 이러한 세균성 질환은 자가관리와 주기적인 치과내원이 중요하다. 그러나 임플란트 주위염이 꼭 관리 미흡으로 발생하는 것은 아니다. 그 이유는 바로 임플란트 나사 표면이 가지고 있는 특성 때문이다. 임플란트는 뼈와 직접 연결되어 지지를 얻는 구조이므로, 임플란트 표면에 뼈세포가 잘 들러붙을 수 있도록 설계되어 있다. 하지만 이러한 표면특성 때문에 임플란트 표면이 구강 내로 노출되었을 경우 세균도 쉽게 달라붙는다. 이를 막기 위해서는 처음 식립할 때부터 주변 잇몸뼈 두께를 1.5mm~2mm이상 확보하는 것이 중요하다.
임플란트 식립 후에 위와같은 문제가 발생해서 재식립을 해야하는 상황이라면 치료기간이 길어질 뿐만 아니라 더 복잡하고 어렵다.
■ 임플란트 제거
재식립에 앞서 기존의 임플란트를 제거해야 하는데, 임플란트는 치아와 달리 표면에 나사선이 있고, 또 이것이 직접 뼈와 연결되어 있다. 그래서 치아처럼 힘을 주어서 뽑는다거나 나사처럼 돌려서 뽑을 수는 없고, 나사 주변의 잇몸뼈를 어느정도 갈아낸 다음에 제거를 해야한다. 그래서 제거 과정 자체도 쉽지 않을 뿐만 아니라, 이 과정에서 없어진 잇몸뼈가 완전히 다시 회복되지는 않기 때문에 경우에 따라서는 잇몸뼈 이식술이 필요할 수 있다. 그러므로 임플란트 재식립은 요구되는 스트레스도 더 많을 뿐 아니라, 치료 기간도 길어지고 남아있는 잇몸뼈의 양에 따라 뼈이식 수술의 난이도가 올라갈 수 있으므로 고난이도 수술이라고 볼 수 있다.
■ 임플란트 재식립
임플란트 재식립을 하기 전 가장 중요한 것은 역시 임플란트 식립 부위에 남아있는 잇몸뼈의 상태다. 적절한 두께와 높이의 잇몸뼈는 성공적인 임플란트 식립에 있어 필수불가결한 요소다.
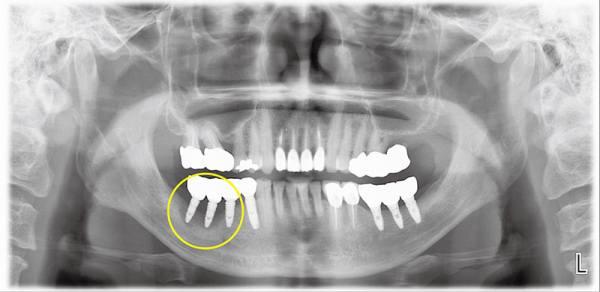
자료사진(그림1)은 식립한지 3년정도 된 임플란트 주변에서 냄새와 쓴맛이 난다고 치과에 내원한 환자다.
왼쪽아래 임플란트 나사들 주변으로 검은색 음영이 관찰되는데, 이는 임플란트 주변의뼈가 녹아있음을 의미한다. 잇몸뼈를 충분히 확보하지 않은 채 임플란트를 식립하여 불과 3년 만에 임플란트 표면이 노출되면서 주위염이 급속히 진행되고 주변의 뼈가 녹은 것으로 추정된다.
바로 옆 안쪽에서 네 번째 임플란트의 주변으로는 뼈가 비교적 온전하게 유지되고 있으나, 이것 또한 상부에 미약한 염증이 관찰된다. 결국 맨 뒤 임플란트 세 개를 제거하고 3개월이 지나 잇몸이 다 낫고 나서 충분한 높이와 두께로 다량의 골이식을 시행하였다.
또한 이식된 뼈가 주변잇몸의 압력으로 인하여 흡수되는 것을 방지하기 위해 금속막을 이용하여 공간을 형성, 6개월 후 금속막을 제거한 후 새 임플란트를 식립했다.
다음 사진(그림2)은 임플란트 식립이 완성된 상태에서 촬영한 파노라마다.
■ 잇몸이식
광범위한 잇몸뼈 이식 후에는 잇몸형태가 식립 이전과 달라지기 때문에 음식물이 더 잘 끼게 된다. 이를 해결하기 위해서는 잇몸형태 개선이 필요하다. 치아 주변의 단단한 핑크빛 잇몸을 부착치은이라 하는데, 치아가 상실된 채 오랜 시간이 흐르거나 치주질환에 의해 이러한 부착치은의 양이 줄어들면 음식물이 보다 쉽게 임플란트 사이에 끼게 된다. 또한 제거를 위해 치간칫솔이나 치실을 사용하게 되었을 때 잇몸에 상처가 쉽게 나서 불편감이 발생할 수 있다.
특히 임플란트 주위염에 걸린 경험이 있거나 다수의 임플란트를 식립하신 환자분이라면 이러한 불편감을 더더욱 개선시킬 필요가 있다. 따라서 임플란트를 심기 전에 잇몸을 이식하여 자연치와 비슷한 양의 부착치은을 확보해야 한다. 잇몸수술의 경우 회복까지 2주정도 시간이 필요하며, 그 후 최종보철을 진행할 수 있다.
임플란트의 관리를 위해서는 환자분들의 의지와 노력이 필요하고, 그와 함께 치과진료가 잘 이루어진다면 오랫동안 탈 없이 임플란트를 잘 유지할 수 있다. 또한 잇몸건강에 좋다는 여러 가지 영양제나 건강보조제들이 소개되고 있는데 이러한 약물들은 어디까지나 보조적 수단에 불과하기 때문에 반드시 치과검진과 철저한 구강위생관리가 선행되어야 한다.

